
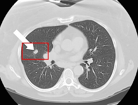
폐암 병에 걸려 이유가 되는 것
폐암의 병이 나서 이유가 되는 것은 당연지사 인제 한결같이 뭐 모르는 부분들이 많기는 하지만 최고 많이 연구가 되어지고 이름 난 직접적인 이유가 되는 것은 흡연으로 생각할 수 있어요. 흡연하지 않는 사람들에견주어 말하면 한 10배 정도 가까이 폐암의 위험을 알린다고 되어 있습니다.


최근에는 흡연을 하지 않는다해도 여성 폐암이나 말할 것도 없이 인제 어찌 유전적인 요인들도 있다고 보고 간접흡연이나 요즘엔 이슈화되는 미세먼지 그리고 중금속이나 라돈이나 석면 같은 이러한 유해물질들도 폐암의 위험을 올린다고 알려져 있고요.
폐암 초기 증상 : 각혈
대부분의 다른 암종과 똑같게 폐암도 초기에는 증상이 좀 없기 때문에 근처에서 봐야 되는 이제 병이 진행해보았을 때의 생기는 증상은 자주 보이는 호흡기 증상 중에 일단은 뭐 기침이라든지.
그렇지 아니하면 이제 뭐 가래나 아니라면 각혈 우리가 혈담이라고 묘사하는 가래에 섞이는 혈당 그리고 또 진행하다가 보면 이제 그런 통증이라든지. 호흡곤란 같은 게 나타날 수있다고 합니다.


그러므로 의견을 해보면 저희가 작은 그냥 혹으로만 있는 초기 폐암에서는 폐 실질에 생길 때는 어떠한 통증도 없다고하고 증상도 없게 되고 있는데 이제 범위가 작더라도 기관지 근처에 침범을 하던가 기관지 내에서 침범을 하다가 보면 혈관이 좀 많게 많다고 합니다.
암종들이 기침을 한 경우 혹은 가래를 할 때 객혈이 묻어서 나온다거나 아니라면 폐나 기관지를 자꾸 자극하는 불순물이 생겼기 때문에 자극이 되면서 기침이 계속 많이 가고 가래도 좀 컬러이 변하였거나 나타날 수있어요.
한동훈 관련주 대장주 정리 : 왜 '한동훈 테마주'에 주목해야 할까요?
왜 '한동훈 테마주'에 주목해야 할까요?최근 정치권 이슈에 따라 주식 시장에서 특정 정치인의 이름이 언급될 때마다 관련 주식이 요동치는 모습을 볼 수 있습니다.한동훈 전 법무부 장관 역시
stocklife.woochynainfo.com
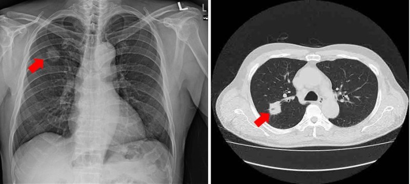
폐암 초기 증상 : 가슴 통증, 호흡 곤란
그리고 통증 같은 경우에는 폐에 벽이나 이런 데를 침범하던가 다른 뼈나 이런 데를 침범하였을 때는 다소 더 병이 진행한 경우인데 통증들이 좀 드러날 수있으며
그 폐암이 추동하면서 크기 자체가 커지거나 아니라면 뭐 물 같은 거를 만들어서 흉수가 차게 됐거나 이럴 때는 환자분들이 숨을 쉴 때의 통증도 흉막이 자극되면서 생기지만 호흡곤란이 또 같이 일으키게 된다 하였습니다.


그리하여 호흡곤란이 좀 되더라도 그런 걸 좀 미심쩍게 보아야 되고요. 또 띄엄띄엄 가다가는 쉰 목소리로 목소리가 쉬어서 오시는 분들도 성대에 이상이 있을 때 그런 양성질환에서도 일어날 수있겠으나
성대를 하는 주관하는 어떠한 신경이나 이런 거를 건드렸을 때 흉곽에 있으니까 그럴 때도 신목소리나 이런 것들로도 찾아내는 되었다면가 왕왕 있고요.
2025.04.30 - [분류 전체보기] - 고지혈증에 나쁜 음식과 예방하는 법 알아보자 "먹는 습관만 바꿔도 충분히 예방할 수 있어요"
고지혈증에 나쁜 음식과 예방하는 법 알아보자 "먹는 습관만 바꿔도 충분히 예방할 수 있어요"
고지혈증이란? 그리고 왜 주의해야 할까고지혈증은 혈액 속에 지방 성분인 콜레스테롤과 중성지방이 정상 수치보다 높아진 상태를 말합니다.이러한 상태가 지속되면 동맥경화, 심근경색, 뇌졸
letsgobetterlife.woochynainfo.com
폐암 초기 증상 : 체중 감소
하루 이틀 사이가 아니라 또 몇 달간 좀 지속된다거나 이러한 방식으로 좀 오랜 기간 그런 증상을 겪는시다면 그리고 몸무게가 같이 빠지는 다음 기력이 없다는 이런 전신 증상들이랑 동위배되는 본보기들도 좀 있고요.
폐암에 인제 뭐 유병률도 높다고하며 사망 확률도 높다고하며 관심도가 많은 암종이고 근래에 이제 치료들도 많이 다양해졌어요. 하지마는
현재라도 그래도 아직은 알고 있는 그런 유해 요인들 최고 귀중한 담배에 구성하는 금연을 하는게 제일 중요할 것 같고요.


그리고 최소한은 검진이라도 국가에서 해주는 저희가 국가검진이 아주 잘 돼 있다고 하는데, 엑스레이나 저소량 시티 같은 그런 국가검진이라도 꾸준하게 이제 잘 챙겨서 잘 받으시고
어찌 호흡기 증세가 있을 때 빨리 전문가와 만나서 필요한 검사들을 협의하시는게 괜찮을동등합니다.
정리
✔ 폐암의 주요 발생 원인은 흡연이며, 간접흡연, 미세먼지, 석면 등도 원인이 될 수 있습니다.
✔ 초기 증상은 거의 없으나, 기침, 각혈, 가래 변화, 통증, 호흡곤란, 체중 감소 등으로 나타날 수 있습니다.
✔ 증상이 경미하더라도 검진을 통해 조기 발견이 중요하며, 금연과 정기 건강검진이 예방의 핵심입니다.
감사합니다.
2026.01.05 - [분류 전체보기] - 대장암 초기증상 배 혈변 설사 방귀 냄새
대장암 초기증상 배 혈변 설사 방귀 냄새
광고 안녕하세요. 이번 시간에는 대장암의 초기 증상에 대해 설명드립니다. 모든 암이 그렇듯 초기에 발견되면은 암이 완치될 확률이 높은 반면, 나중에 발견되면 암이 완치될 확률이 떨어져요.
health001.trueheartstock.com
2026.01.05 - [분류 전체보기] - 위암 초기 증상 속쓰림 i 설사
위암 초기 증상 속쓰림 i 설사
안녕하세요. 항상 구독자 여러분들에게 감사드리도록 할게요. 오늘은 보통 때 소화기 증상과 혼동되어 초기 발견을 놓치기 쉬운 위암의 초기 증상 아홉 가지라는 주제로 말씀드리고자 합니다.
health001.trueheartstock.com
2026.01.05 - [분류 전체보기] - 췌장암 초기 증상 발바닥 검사
췌장암 초기 증상 발바닥 검사
췌장암 초기 증상 검사 방법 알아보자 무서운 병들이 높지만 그중에서도 췌장암은 정말 무서운 병이죠. 2020년에 발표된 자료에 근거하면 췌장암의 5년 상대 생존률은 12.2%로 최하위였답니다. 고
health001.trueheartstock.com
https://stocklife.woochynainfo.com/50
한동훈 관련주 대장주 정리 : 왜 '한동훈 테마주'에 주목해야 할까요?
왜 '한동훈 테마주'에 주목해야 할까요?최근 정치권 이슈에 따라 주식 시장에서 특정 정치인의 이름이 언급될 때마다 관련 주식이 요동치는 모습을 볼 수 있습니다.한동훈 전 법무부 장관 역시
stocklife.woochynainfo.com
https://whatinfo.woochynainfo.com/37
점메추와 저메추의 뜻과 유래, 사용법 총정리 : 2020년대 신조어, 식사 메뉴 추천 문화의 변화 읽
안녕하세요! 오늘은 현대 한국어에서 많이 사용되는 신조어인 점메추와 저메추에 대해 자세히 알아보는 시간을 갖겠습니다. 이 글에서는 점메추 뜻, 저메추 뜻, 두 단어의 유래, 그리고 실제 사
whatinfo.woochynainfo.com
https://stocklife.woochynainfo.com/49
김문수 관련주 대장주 / 김문수 테마주에 대해서 알아보자!!!
안녕하세요, 여러분! 오늘은 요즘 핫한 테마 중 하나인 김문수 관련주 대장주에 대해 이야기해보려고 해요. 김문수 장관이 정치권에서 주목받으면서, 그의 이름과 얽힌 주식들이 투자자들 사이
stocklife.woochynainfo.com
https://stocklife.woochynainfo.com/49
김문수 관련주 대장주 / 김문수 테마주에 대해서 알아보자!!!
안녕하세요, 여러분! 오늘은 요즘 핫한 테마 중 하나인 김문수 관련주 대장주에 대해 이야기해보려고 해요. 김문수 장관이 정치권에서 주목받으면서, 그의 이름과 얽힌 주식들이 투자자들 사이
stocklife.woochynainfo.com






































